ورود / ثبت نام
نتایج برچسب:
nish zadan
01:10
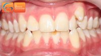
ارتودنسی دندان نیش نهفته | دکتر مسعود داوودیان
متخصص ارتودنسی، دکتر داودیان
180 نمایش
7 سال پیش
00:52
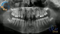
نیش نهفته در ارتودنسی | دکتر مسعود داوودیان
متخصص ارتودنسی، دکتر داودیان
126 نمایش
7 سال پیش
01:17
نیش زدن پشه از لنز دوربین ماکرو
صبا
81 نمایش
8 سال پیش
01:17
نیش زدن پشه از لنز دوربین ماکرو
صبا
96 نمایش
8 سال پیش
00:34
انیمیشن مسواک زدن | دندانپزشکی سیمادنت
کلینیک دندانپزشکی سیمادنت
557 نمایش
7 سال پیش
10:40
درمان خانگی نیش زنبور عسل در منزل
عسل آهوتا
328 نمایش
7 سال پیش
01:32
چسب زدن بینی
دکتر ناصری صدر (جراح پلاستیک و متخصص گوش حلق و بینی)
1.6 هزار نمایش
7 سال پیش
00:44
ارتودنسی ثابت و نیش نهفته | دندانپزشکی سیمادنت
کلینیک دندانپزشکی سیمادنت
117 نمایش
7 سال پیش
00:07
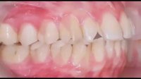
ارتودنسی دندان نیش بیرون زده | دکتر مسعود داودیان
متخصص ارتودنسی، دکتر داودیان
170 نمایش
7 سال پیش
00:31
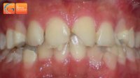
ارتودنسی دندان نیش نهفته | دکتر مسعود داودیان
متخصص ارتودنسی، دکتر داودیان
324 نمایش
7 سال پیش
00:36
دندان نیش بیرون زده | دکتر مسعود داوودیان
متخصص ارتودنسی، دکتر داودیان
767 نمایش
7 سال پیش
01:47
ارتودنسی پیشگیری با دستگاه هدگیر | دکتر مسعود داوودیان
متخصص ارتودنسی، دکتر داودیان
60 نمایش
7 سال پیش
00:58
ارتودنسی نیش نهفته | دکتر مسعود داوودیان
متخصص ارتودنسی، دکتر داودیان
91 نمایش
7 سال پیش
00:31
ارتودنسى دندان نیش نهفته دكتر مهدى فهیمى ارتودنتیست
صبا
27 نمایش
8 سال پیش
00:31
ارتودنسی قبل و بعد دندان نیش بیرون زده | دکتر داودیان
متخصص ارتودنسی، دکتر داودیان
778 نمایش
7 سال پیش
01:45
آموزش سوزی و انفجار عظیم در پالایشگاه...
زبل خان
11 نمایش
8 سال پیش
02:26
برترین ویولن زن جهان
به یاد ماندنی
2.6 هزار نمایش
8 سال پیش
01:03
نحوه صحیح چسب زدن به بینی
دکتر ابراهیم شهسواری - متخصص گوش، حلق و بینی
3.3 هزار نمایش
7 سال پیش
01:20
عکس های قبل و بعد ارتودنسی نیش بیرون زده : دکتر داودیان
متخصص ارتودنسی، دکتر داودیان
30 نمایش
7 سال پیش
00:27
قبل و بعد ارتودنسی دندان نیش نهفته | دکتر مسعود داودیان
متخصص ارتودنسی، دکتر داودیان
81 نمایش
7 سال پیش
00:18
قبل و بعد ارتودنسی دندان نیش بیرون زده | دکترداودیان
متخصص ارتودنسی، دکتر داودیان
602 نمایش
7 سال پیش
00:40
هدایت نیش نهفته در ارتودنسی | دکتر مسعود داوودیان
متخصص ارتودنسی، دکتر داودیان
52 نمایش
7 سال پیش
02:35
چرا پشه برخی افراد را بیشتر نیش می زند؟
تک شو
78 نمایش
8 سال پیش
04:58
۱۰+۱۰ روش ترک خود ارضایی
alavy110
617 نمایش
7 سال پیش
نتایج بیشتر
گزارش ویدیو
خارج شدن از ویژه
ویرایش ویدیو
حذف ویدیو از سایت
حذف ویدیو از لیست
حذف ویدیو بازنشر شده
حذف ویدیو از لیست
ویدیو ویژه شود
ویرایش لیست پخش
حذف لیست پخش