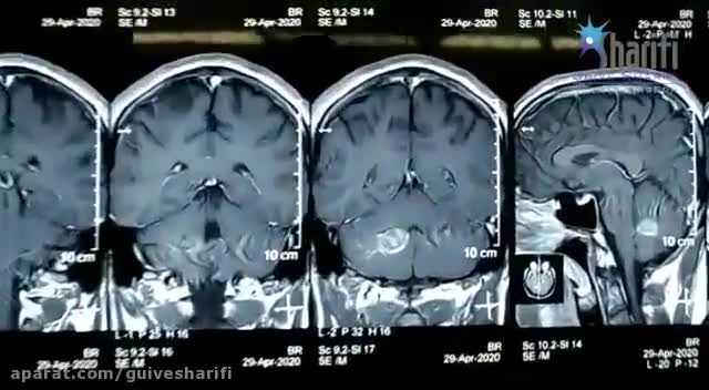
174. فیلم جراحی کاورنوس آنژیوما مخچه دکتر گیو شریفی

دکتر گیو شریفی (جراح مغزو اعصاب و ستون فقرات )

دکتر گیو شریفی متخصص جراحی مغز و اعصاب هیئت علمی دانشگاه علوم پزشکی شهید بهشتی . راه های برقراری ارتباط با دکتر گیو شریف: صفحه اینستاگرام: https://www.instagram.com/drguivesharifi/ وب سایت رسمی: https://gsharifi.com/ شماره های تماس:88664963

دیدگاه کاربران